96
Вы владелец профиля?

Антон Александрович Олейников

Вы можете доверять информации на этой странице
Представитель организации регулярно обновляет информацию и просматривает отзывы.
Стаж 19 лет
3,7
/ 3 отзыва и 19 оценок
Большой стаж
Услуги и цены
Консультация первичная взрослая 3000 ₸ (за 1 пр.)
Все цены
О специалисте
Сообщить об ошибке
Профессиональный стаж:
19 лет
Стоимость услуг:
3000 - 129 000 тг.
Стоматолог-ортопед.

Профессиональные качества: Основное направление деятельности - эстетическая стоматология, мастер красивой улыбки! Широко использует достижения современной стоматологии в своей практике. Не перестает учиться, активно участвует в симпозиумах, курсах повышения квалификации
врачей, семинарах и лекциях.
Антон Александрович владеет современными методами сложного протезирования: безметалловые конструкции, микропротезирование, съемные и условно съемные протезы, протезирование на имплантатах, безинвазивные керамичекие виниры, комплексное планирование сложных клинических случаев

Исключительное чувство формы и цвета позволяет Антону Александровичу преображать своих пациентов, причем всего лишь за несколько посещений, но на долгие годы!

Философия: Совершенное качество услуг через абсолютное внимание к деталям.

«Работать с душой – это про Антона Александровича. Он из династии, стоматология для него – жизнь. А жизнь должна быть легкой и красивой! Особенно когда надо протезировать! Воплощает в жизнь самые заветные мечты пациентов раз и практически навсегда – от беззубых челюстей до белоснежных виниров в исключительном качестве! Благодарные улыбки изумленных пациентов каждый раз говорят о том, что его работа превзошла ожидания!» (с) команда Dental Practice
... Показать еще
Места работы врача Антона Александровича Олейникова
Для получения дополнительной информации по стоимости услуг и записи к специалисту позвоните по номеру телефона организации
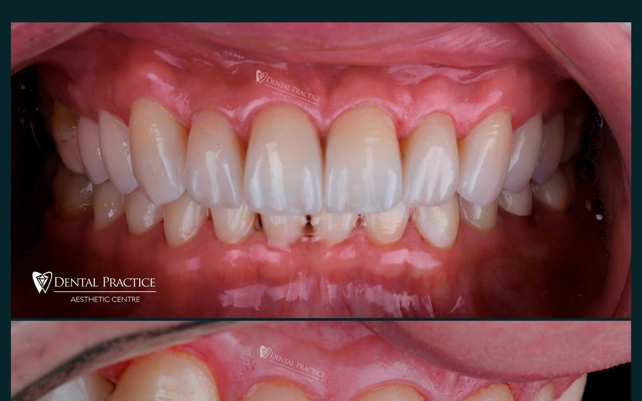
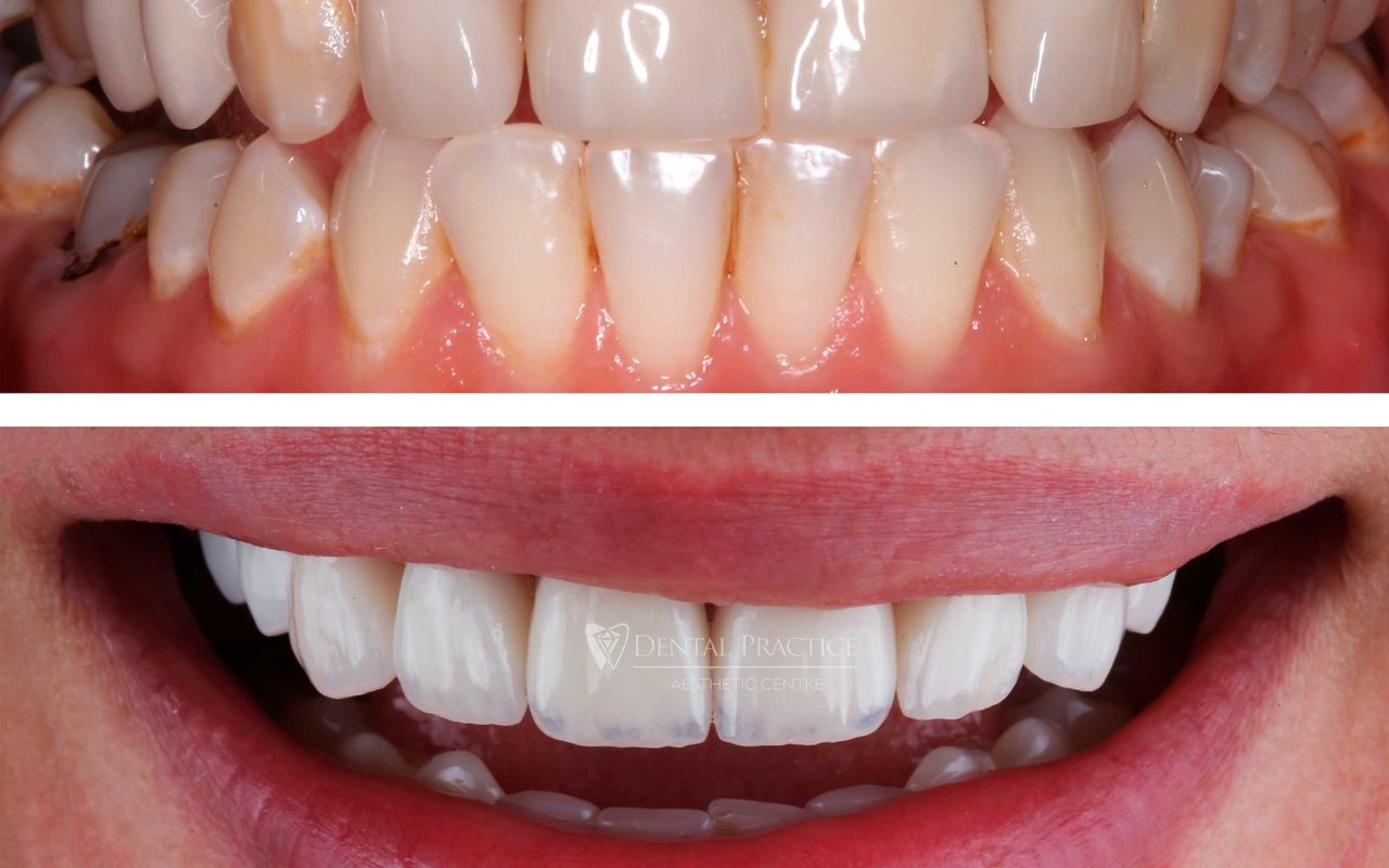
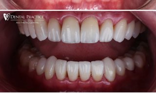
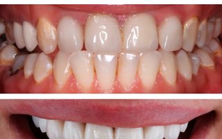
Фото работ врача Антона Александровича Олейникова
Прайс-лист
Сортировать:
по умолчанию
по цене
Общие манипуляции для всех врачей
Консультация первичная взрослая
3000 за 1 пр.
Диагностическое обследование с составлением плана лечения
22 000 за 1 пр.
Ортопедический прием для Олейникова
Безметалловая коронка на основе диоксида циркония
109 000 за 1 ед.
Изготовление металлокерамической коронки на основе кобольто-хромового сплава
40 500 за 1 ед.
Металлокерамическая коронка на имплантанте на основе кобольто-хромового сплава
70 000
Керамический винир/цельнокерамическая коронка E-MAX
105 000 за 1 ед.
Изготовление временной коронки на имплантанте лабораторным методом
26 000
Безметалловая коронка на имплантанте на основе диоксида циркония
129 000
Частичный съемный протез
59 800 за 1 ед.
Полный съемный протез
79 000 за 1 ед.
Цены, приведённые на сайте, не окончательные, не являются публичной офертой и носят информационный характер. Администрация оставляет за собой право изменять цены.
Вы можете уточнить стоимость по телефону.
Сертификаты и документы

Отзывы о враче Антоне Александровиче Олейникове

Сортировать по:
  • 5,0
    Хочу выразить огромную благодарность Антону Александровичу за его чудесную работу) Сначала посмотрела все его работы в инстаграме, а потом пришла на консультацию, обо всем мне подробно рассказал, объяснил. Я получила то, что желала, спасибо Антону Александровичу за это!
  • Клиника распиаренная в интернете. Олейников Антон Александрович настаивал на разрушении здоровых зубов без эстетических недостатков. Каждую консультацию доктор жаловался, что ему было бы легче сделать четыре винира, а не два. Мне приходилось выслушивать его жалобы каждый прием. В итоге он не стал заканчивать работу и при окружающих людях, при просьбе вернуть деньги сказал в унизительном тоне «я вам ещё сверху добавил». У меня теперь разрушено два зуба, хорошо что не все четыре. Не тратьте свое в – показать
  • 5,0
    Антон Александрович!Примите мой низкий поклон за то, что вернули мне утраченное здоровье и красоту ипозвольте выразить восхищение перед вашим мастерством.Я считаю вас гениальным специалистом, заслуживающего самых высоких наград. Хорошая клиника,Очень удобное место, прекрасное оборудование, самое главное — это люди, которые вас окружают.Ваш прекрасный коллектив.поздравляю вас с новым годом.Будьте всегда первыми и лучшими.
    • Здравствуйте, Ольга! Спасибо огромное за оставленный отзыв. Желаем сохранить улыбку безупречной на долгие годы, а мы с удовольствием в этом поможем!
3,7
3 отзыва и 19 оценок
Оцените или напишите отзыв
Напишите отзыв, чтобы помочь другим пользователям с выбором.
Написать отзыв Редактировать отзыв
Отзывы с оценками
Образование
  • Казахский Национальный медицинский университет им. С.Д. Асфендиярова (КазНМУ)
Сертификаты
  • Сертификаты: Россия, Казахстан, Германия, Израиль
Курсы повышения квалификации
  • Постоянный участник многочисленных практических и теоретических курсов обучения как в России, так и за рубежом
Участие в мероприятиях
  • Участник конгрессов по междисциплинарным аспектам современной стоматологии, ежегодных Международных стоматологических симпозиумов «Квинтэссенция» посвященных эстетике и имплантологии
Опыт и достижения
  • Стаж работы более 14 лет

Часто задаваемые вопросы об Олейникове Антоне Александровиче

  • Как пользователи сайта Zoon.kz оценивают Олейникова Антона Александровича?
  • Считается ли Олейников Антон Александрович опытным специалистом?
  • Какое основное направление деятельности Олейникова Антона Александровича?
  • Во сколько Олейников Антон Александрович оценивает свои услуги?
  • Есть ли у Олейникова Антона Александровича требуемые лицензии?
  • Есть ли возможность ознакомиться с примерами выполненных работ Олейникова Антона Александровича?
  • Где я могу посмотреть фотографии Олейникова Антона Александровича?
Информация предназначена для ознакомления и не заменяет квалифицированную медицинскую помощь. Проконсультируйтесь с врачом!
Средняя оценка - 3,7 на основании 3 отзывов и 19 оценок
Вверх