Куаныш Сайлаубекович Куантаев

4,1
/ 15 оценок
О специалисте
Отличный врач стоматолог терапевт, ортопед, хирург,имплантолог — Куантаев Куаныш Сайлаубекович. Врач с большой буквы, человек с большим и добрым сердцем. Он всегда внимателен к своим пациентам, ему как опытному специалисту доверяют самое дорогое — здоровье и красоту полости рта! ⠀⠀
⠀⠀
Куаныш
Сайлаубекович является постоянным участником актуальных курсов, семинаров и мастер-классов, с радостью перенимает опыт именитых врачей. Все полученные знания и навыки применяет на практике.⠀
... Показать еще
Места работы врача Куаныш Сайлаубековича Куантаева
Для получения дополнительной информации по стоимости услуг и записи к специалисту позвоните по номеру телефона организации
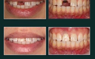
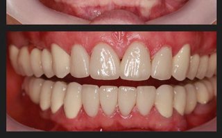
Фото работ врача Куаныш Сайлаубековича Куантаева

Отзывы о враче Куаныш Сайлаубековиче Куантаеве

Отзывов пока нет — ваш может стать первым
Поделитесь мнением и помогите другим определиться с выбором.
4,1
0 отзывов и 15 оценок
Оцените или напишите отзыв
Напишите отзыв, чтобы помочь другим пользователям с выбором.
Написать отзыв Редактировать отзыв

Часто задаваемые вопросы о Куантаеве Куаныш Сайлаубековиче

  • Каков рейтинг Куантаева Куаныш Сайлаубековича на Zoon.kz?
  • Какое базовое направление деятельности Куантаева Куаныш Сайлаубековича?
  • Можно ли ознакомиться с выполненными работами Куантаева Куаныш Сайлаубековича?
  • Где можно увидеть фотографии Куантаева Куаныш Сайлаубековича?
Информация предназначена для ознакомления и не заменяет квалифицированную медицинскую помощь. Проконсультируйтесь с врачом!
Средняя оценка - 4,1 на основании 15 оценок
Вверх