Игорь Олегович Ромашов

Стаж 13 лет Высшая категория
5,0
/ 5 отзывов и 11 оценок
Отличный специалист
О специалисте
Сообщить об ошибке
Профессиональный стаж:
13 лет
Ещё со школы я знал, что буду врачом, не знал каким именно буду врачом, но знал точно, что хочу помогать людям избавляться от недугов. Стоматология это особое направление медицины. Здесь сочетается два важных аспекта-это возможность помочь и конечно же результат, увидеть радость пациента. Каждый пациент- это особенная стоматологическая задача. И процесс нахождения решения, и его реализация, доставляют мне огромное удовольствие.... Показать еще
Места работы врача Игоря Олеговича Ромашова
Для получения дополнительной информации по стоимости услуг и записи к специалисту позвоните по номеру телефона организации
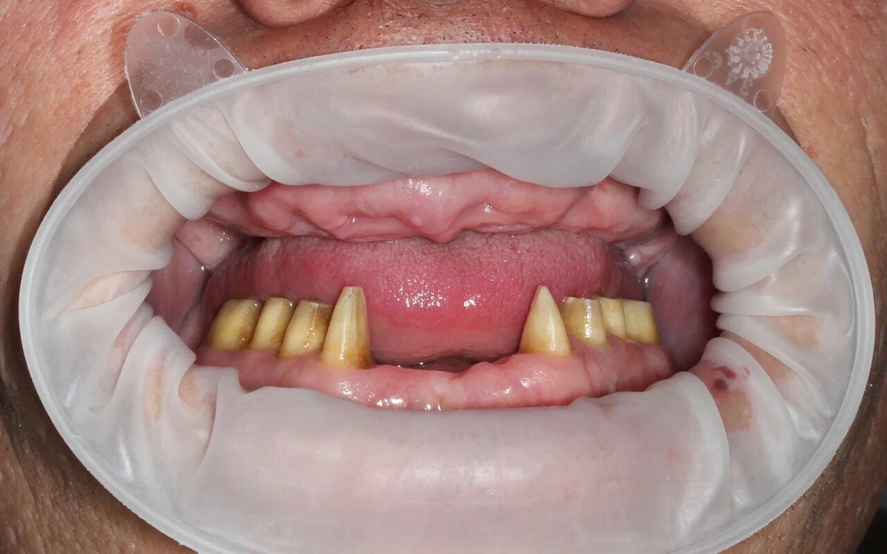
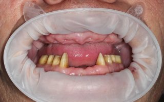
Фото работ врача Игоря Олеговича Ромашова
Сертификаты и документы

Отзывы о враче Игоре Олеговиче Ромашове

Сортировать по:
  • 5,0
    Очень хороший стомотолог! Проффесианал! Мне очень понравилась его работа. Спасибо!
  • 5,0
    Очень хороший стоматолог, тщательно осмотрел и дал точную оценку состояния Зубов. Рахмет большой, очень рад, что нашел своего специалиста, теперь только к нему
  • 5,0
    Так приятно был удивлен ценами, сервисом и то, какие хорошие тут врачи. Игорь Олегович Ромашов так аккуратно и быстро все сделал
  • 5,0
    Спасибо большое ортодонту Игорю Олеговичу Ромашову за проделанный труд! У меня наконец-то красивая улыбка. Теперь я улыбаюсь не стесняясь. Врач тактичный и внимательный. Ответил на все мои вопросы касательно ухода за зубами.
  • 5,0
    Большое спасибо доктору Игорь Олегович Ромашову! За работу и трепетное отношение как к пациенту. Долгое время обслуживаюсь у врача, все супер!
5,0
5 отзывов и 11 оценок
Оцените или напишите отзыв
Напишите отзыв, чтобы помочь другим пользователям с выбором.
Написать отзыв Редактировать отзыв
Отзывы с оценками

Часто задаваемые вопросы о Ромашове Игоре Олеговиче

  • Как пользователи Zoon.kz оценивают Ромашова Игоря Олеговича?
  • Является ли Ромашов Игорь Олегович опытным специалистом?
  • На каком направлении специализируется Ромашов Игорь Олегович?
  • Есть ли возможность ознакомиться с лицензиями Ромашова Игоря Олеговича?
  • Есть ли возможность ознакомиться с примерами выполненных работ Ромашова Игоря Олеговича?
  • Где можно увидеть фото Ромашова Игоря Олеговича?
Информация предназначена для ознакомления и не заменяет квалифицированную медицинскую помощь. Проконсультируйтесь с врачом!
Средняя оценка - 5,0 на основании 5 отзывов и 11 оценок
Вверх