Вы владелец профиля?
Владимир Викторович Ким
Стаж 15 лет
Большой стаж
О специалисте
Сообщить об ошибке
Профессиональный стаж:
15 лет
Должность:
Стоматолог-ортодонт-исправление прикуса (с помощью брекет-систем, пластинок, ретейнеров, и т.д.)
-лечение аномалий положения зубов и зубных рядов.
Курсы, повышение квалификации:
2015 г. — семинар «Ошибки и осложнения на этапе диагностики, планирования и активного ортодонтического лечения»;
2017 г. — V-ый Международный конгресс стоматологов Казахстана «Актуальные проблемы современной стоматологии»;
2017 г. — «Аномалии прикуса и челюстно-лицевого развития»;
2017 г. — «Концепция лечения нарушений прикуса без ортогнатической хирургии и удаления премоляров», Минск, Беларусь;
2018 г. — курс по микроимплантатам в ортодонтии;
2020 г. — «Twin block and transforce: new horizons in orthodontics», Эдинбург;
2020 г. — Orthodontics congress, Москва.... Показать еще
-лечение аномалий положения зубов и зубных рядов.
Курсы, повышение квалификации:
2015 г. — семинар «Ошибки и осложнения на этапе диагностики, планирования и активного ортодонтического лечения»;
2017 г. — V-ый Международный конгресс стоматологов Казахстана «Актуальные проблемы современной стоматологии»;
2017 г. — «Аномалии прикуса и челюстно-лицевого развития»;
2017 г. — «Концепция лечения нарушений прикуса без ортогнатической хирургии и удаления премоляров», Минск, Беларусь;
2018 г. — курс по микроимплантатам в ортодонтии;
2020 г. — «Twin block and transforce: new horizons in orthodontics», Эдинбург;
2020 г. — Orthodontics congress, Москва.... Показать еще
Места работы врача Владимира Викторовича Кима
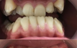
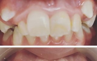
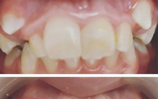
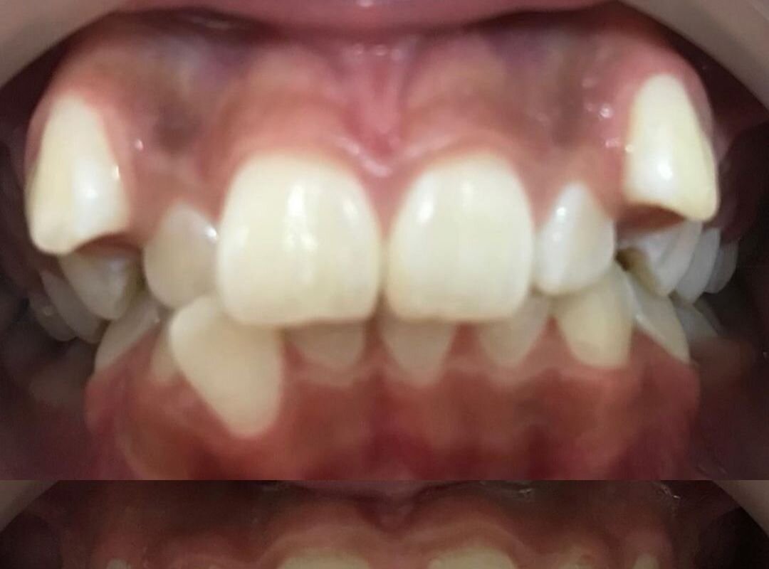
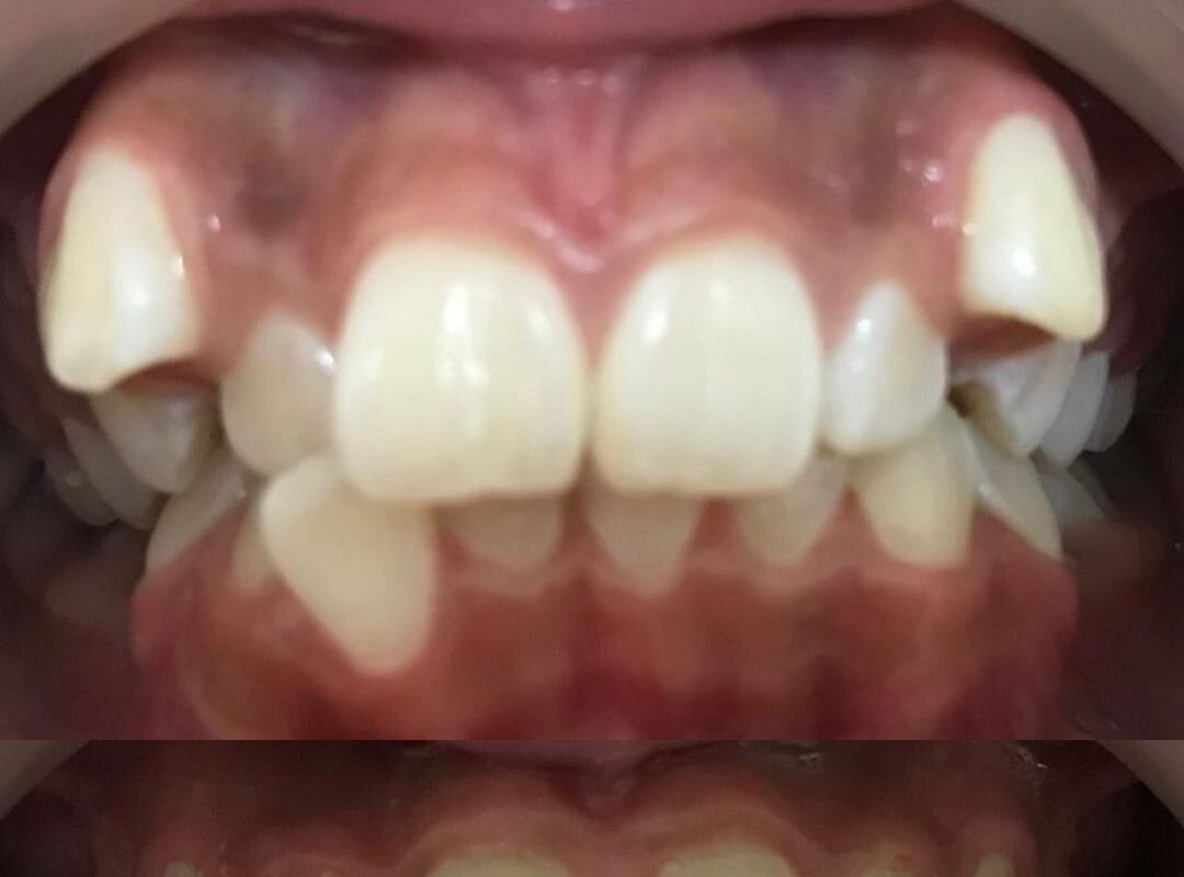
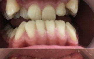
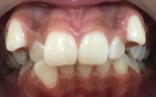
Фото работ врача Владимира Викторовича Кима
Сертификаты и документы
Часто задаваемые вопросы о Киме Владимире Викторовиче
- Можно ли назвать Кима Владимира Викторовича опытным специалистом?
- Какое ведущее направление деятельности Кима Владимира Викторовича?
- Могу ли я ознакомиться с лицензиями Кима Владимира Викторовича?
- Могу ли я ознакомиться с примерами выполненных работ Кима Владимира Викторовича?
- Где я могу увидеть фотографии Кима Владимира Викторовича?
Смотрите также
Информация предназначена для ознакомления и не заменяет квалифицированную медицинскую помощь. Проконсультируйтесь с врачом!
Вверх
Отзывы о враче Владимире Викторовиче Киме