54

Ильяс Кемалович Титобаев

Стаж 13 лет
4,4
/ 1 отзыв и 19 оценок
О специалисте
Сообщить об ошибке
Профессиональный стаж:
13 лет
Должность:
Стоматолог-ортопед, имплантолог
Я - Титобаев Ильяс Кемалович, стоматолог-хирург и имплантолог с 9-летним опытом восстановления улыбок и заботы о зубах.

💎 Моя специализация - хирургия и имплантология. Я помогаю пациентам восстановить утраченные зубы и вернуть им уверенность в себе.

🌟 Мои навыки базируются на совре
менных методах и технологиях в мире стоматологии. Ваша безболезненность и комфорт всегда в центре моего внимания.

🎓 Я постоянно совершенствую свои навыки через обучение и практику, чтобы предоставлять вам лучшее лечение и результаты.
... Показать еще
Места работы врача Ильяса Кемаловича Титобаева
Для получения дополнительной информации по стоимости услуг и записи к специалисту позвоните по номеру телефона организации
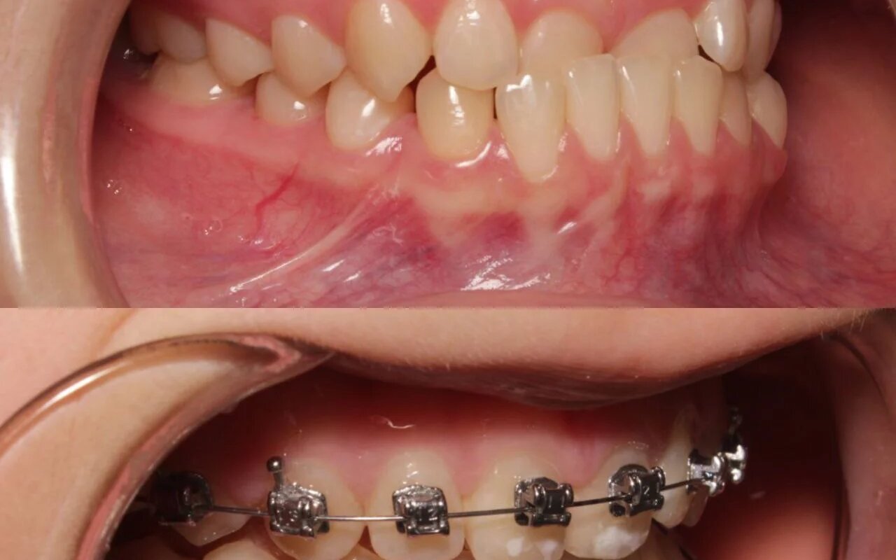
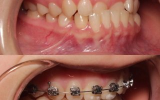
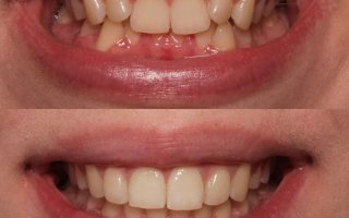
Фото работ врача Ильяса Кемаловича Титобаева

Отзывы о враче Ильясе Кемаловиче Титобаеве

Сортировать по:
  • Здравствуйте Ильяс, где и как Вас можно найти?
    если есть возможность позвоните пожалуйста по номеру
    87075280375
    нужна ваша помощь
4,4
1 отзыв и 19 оценок
Оцените или напишите отзыв
Напишите отзыв, чтобы помочь другим пользователям с выбором.
Написать отзыв Редактировать отзыв
Отзывы с оценками
Образование
  • 2009–2015 — Бакалавр в КазНМУ им Асфендиярова
  • 2015–2016 — Интернатура в КазНМУ им Асфендиярова

Часто задаваемые вопросы о Титобаеве Ильясе Кемаловиче

  • Как пациенты оценивают Титобаева Ильяса Кемаловича?
  • Является ли Титобаев Ильяс Кемалович опытным специалистом?
  • В какой области специализируется Титобаев Ильяс Кемалович?
  • Где можно ознакомиться с портфолио Титобаева Ильяса Кемаловича?
  • Есть ли возможность увидеть фото Титобаева Ильяса Кемаловича?
Информация предназначена для ознакомления и не заменяет квалифицированную медицинскую помощь. Проконсультируйтесь с врачом!
Средняя оценка - 4,4 на основании 1 отзыва и 19 оценок
Вверх