Вы владелец профиля?
Ирина Олеговна Груздева
Стаж 15 лет
Большой стаж
О специалисте
Сообщить об ошибке
Профессиональный стаж:
15 лет
Должность:
Стоматолог-терапевтКурсы, повышение квалификации
2012 г. — практический курс «Innovative technologies in root canal therapy. RaCe and BioRaCe systems»
2012 г. — «Advanced endodontic concepts and techniques»
2014 г. — III Международная научно-практическая конференция «Неотложная помощь в медицине. Стоматология»
2018 г. — демо-курс «Прямая композитная реставрация передних зубов: просто о сложном»
2018 г. — сертификат использования системы коффердам в практике врача стоматолога... Показать еще
2012 г. — практический курс «Innovative technologies in root canal therapy. RaCe and BioRaCe systems»
2012 г. — «Advanced endodontic concepts and techniques»
2014 г. — III Международная научно-практическая конференция «Неотложная помощь в медицине. Стоматология»
2018 г. — демо-курс «Прямая композитная реставрация передних зубов: просто о сложном»
2018 г. — сертификат использования системы коффердам в практике врача стоматолога... Показать еще
Места работы врача Ирины Олеговны Груздевой
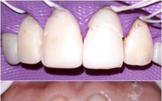
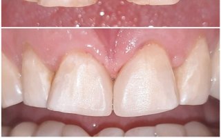
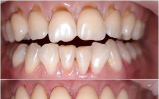
Фото работ врача Ирины Олеговны Груздевой
Образование
-
2007–2011 — Казахский Национальный Медицинский Университет им. С. Д. Асфендиярова
Часто задаваемые вопросы о Груздевой Ирине Олеговне
- Как долго Груздева Ирина Олеговна трудится по специальности?
- Какое основное направление деятельности Груздевой Ирины Олеговны?
- Есть ли у Груздевой Ирины Олеговны нужные сертификаты?
- Где можно ознакомиться с портфолио Груздевой Ирины Олеговны?
- Можно ли увидеть фото Груздевой Ирины Олеговны?
Смотрите также
Информация предназначена для ознакомления и не заменяет квалифицированную медицинскую помощь. Проконсультируйтесь с врачом!
Вверх
Отзывы о враче Ирине Олеговне Груздевой