23
Вы владелец профиля?

Алина Нурлановна Агманова

Вы можете доверять информации на этой странице
Представитель организации регулярно обновляет информацию и просматривает отзывы.
Стаж 12 лет Вторая категория
4,0
/ 3 отзыва и 22 оценки
О специалисте
Сообщить об ошибке
Профессиональный стаж:
12 лет
Окончила стоматологический колледж профессора Рузуддинова, затем Казахский Национальный медицинский университет имени С. Д. Асфендиярова (КазНМУ) и прошла интернатуру по специальности «Стоматология».

Стаж работы: более 7 лет

Профессиональные качества:
Алина – отличный специалис
т и очень целеустремленный человек. Ее работоспособность изумляет, равно как и эрудированность: она владеет огромным количеством информации о всем построении зубочелюстной системы. При этом она очень детальный ортодонт и работает быстро, что важно в ортодонтии, т.к. ношение брекетов занимает достаточно длительный период времени. Она умеет применять абсолютно все виды ортодонтических систем и постоянно совершенствуется в своем деле. В своей работе использует новейшие методы лечения: каппы Invisalign,брекет-системы Damon, трейнеры, микроимпланты. Ведет ортодонтический прием взрослых и детей.

Детский терапевтический прием (лечение детей с 6 лет). Лечение кариеса, пульпита молочных и постоянных зубов. Герметазиция фиссур временных и постоянных зубов, лечение заболеваний слизистой оболочки полости рта.
Талантливый специалист, ее клиническое мышление и знания дадут фору большому числу многоопытных докторов. Алина Нурлановна постоянно повышает свою квалификацию — регулярно участвует в конференциях, семинарах, съездах ортодонтов и детских стоматологов.

Владеет всеми видами ортодонтического лечения.
Находит язык с каждым и знает, как решить самую сложную задачу прикуса или скученности зубов
Знает очень много, умеет еще больше!

Сертификаты: Россия, Казахстан
* По мнению пациентов, Алина обладает аккуратным и ответственным подходом к работе.
... Показать еще
Места работы врача Алины Нурлановны Агмановой
Для получения дополнительной информации по стоимости услуг и записи к специалисту позвоните по номеру телефона организации
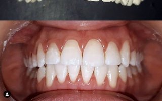
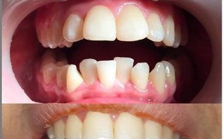
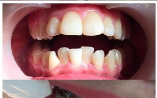
Фото работ врача Алины Нурлановны Агмановой
Сертификаты и документы

Отзывы о враче Алине Нурлановне Агмановой

Сортировать по:
  • 5,0
    Я очень щепетильна касательно своих зубов, поэтому стараюсь находить специалистов своего дела только по рекомендациям. Устанавливали у Алины Нурлановны брекеты. В начале увидев стоматолога меня насторожил её возраст, показалась слишком молодой. Но после консультации и установки стало понятно что профессионал своего дела Осталась очень довольна её работой, смело могу рекомендовать.
  • 5,0
    У Алины наблюдаемся давно-это наш семейный врач-стоматолог! Благодаря Алине мои дети перестали бояться стоматологических процедур. Алина Нурлановна Агманова-специалист от Бога! Очень обходительная, тактичная, объяснят всё доступно и понятно. Мы видим результат её упорной и квалифицированной работы! Мы очень счастливы, что наблюдаемся у Алины-это залог спокойствия и здоровья!
  • 5,0
    Хочу выразить огромную благодарность врачу-стоматологу Агмановой Алине Нурлановне. При походе к стоматологу раньше сын, испытывал страх, боялся открыть рот, но когда мы начали лечить зубы у Алины Нурлановны, он стал засыпать в кресле. Мы были очень удивлены её подходу к детям, как она смогла расположить напугоно ребенка другими врачами. Вылечили 10 зубов и реставрация передних зубов не отличается от естественных,спасает каждый зуб от удаления. Это говорит о большом профессионализме врача. Огр – показать
4,0
3 отзыва и 22 оценки
Оцените или напишите отзыв
Напишите отзыв, чтобы помочь другим пользователям с выбором.
Написать отзыв Редактировать отзыв
Отзывы с оценками
Образование
  • Казахский Национальный медицинский университет имени С. Д. Асфендиярова (КазНМУ)
  • Интернатура по специальности «Стоматология».
  • Окончила стоматологический колледж профессора Рузуддинова

Часто задаваемые вопросы об Агмановой Алине Нурлановне

  • Как пациенты оценивают Агманову Алину Нурлановну?
  • Какой рабочий стаж у Агмановой Алины Нурлановны?
  • В какой области Агманова Алина Нурлановна предлагает свои услуги?
  • Есть ли у Агмановой Алины Нурлановны необходимые сертификаты?
  • Где можно ознакомиться с портфолио Агмановой Алины Нурлановны?
  • Есть ли возможность посмотреть фотографии Агмановой Алины Нурлановны?
Информация предназначена для ознакомления и не заменяет квалифицированную медицинскую помощь. Проконсультируйтесь с врачом!
Средняя оценка - 4,0 на основании 3 отзывов и 22 оценок
Вверх